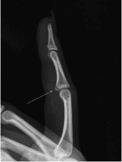
[Cleveland Cavaliers official] Cavaliers guard Keon Ellis injured his left index finger in Wednesday night’s game at Milwaukee. A postgame examination by the Cavaliers’ medical staff, followed by X-rays taken at the arena, confirmed a non-displaced volar plate avulsion of his left index PIP joint.

https://www.nba.com/cavaliers/news/releases-keon-ellis-260227

[Cleveland Cavaliers official] Cavaliers guard Keon Ellis injured his left index finger in Wednesday night’s game at Milwaukee. A postgame examination by the Cavaliers’ medical staff, followed by X-rays taken at the arena, confirmed a non-displaced volar plate avulsion of his left index PIP joint.

Ellis will undergo treatment and continued evaluation and listed as QUESTIONABLE tonight at Detroit. His status will be provided as appropriate.

americanbeaver | Bucks
161 | 5 hours ago
waffle-winner | Spurs
56 | 5 hours ago
SurpriseDonovanMcnab | Pistons
25 | 5 hours ago
SeismicRipFart | Trail Blazers
8 | 5 hours ago
SignalBed9998 | Bulls
4 | 5 hours ago
waffle-winner | Spurs
2 | 4 hours ago
Kennyc1234 | Wizards
156 | 5 hours ago
RulersBack | Cavaliers
23 | 5 hours ago
PsychoM | Raptors
14 | 4 hours ago
narcistic_asshole | Cavaliers
6 | 4 hours ago
SpiritHistorical7169 | Cavaliers
1 | 2 hours ago
I_Need_A_Mehdic | Cavaliers
1 | an hour ago
jaman715 | Cavaliers
6 | 5 hours ago
dr_shastafarian | Knicks
2 | 2 hours ago
Antisystemization | Cavaliers
1 | 2 hours ago
southpluto | 76ers
41 | 5 hours ago
Flashy-Truth-8826 | Knicks
48 | 5 hours ago
ajteitel | Suns
14 | 5 hours ago
WorthApprehensive434
8 | 5 hours ago
DoobieGibson
3 | 4 hours ago
dr_shastafarian | Knicks
30 | 5 hours ago
RobotPoo
3 | 4 hours ago
Japanimekid | Lakers
4 | 4 hours ago
dr_shastafarian | Knicks
1 | 2 hours ago
throwawayforsizetalk | Bucks
2 | 5 hours ago
SlizzoCha
13 | 5 hours ago
OptimusGrime707 | Kings
4 | 3 hours ago
searchin4sugarman | Kings
3 | 3 hours ago
CazOnReddit | Raptors
3 | 2 hours ago
xXWarMasterXx | Kings
2 | 4 hours ago
TATgoLegend | Cavaliers
12 | 5 hours ago
rawsharks | Spurs
7 | 5 hours ago
running_wired
6 | 5 hours ago
heat_fan_ | Raptors
4 | 5 hours ago
posts_saver
-1 | 5 hours ago
Ok-Tree4365
6 | 5 hours ago
AnalMinecraft
1 | 5 hours ago
MrBuckBuck | Trail Blazers
2 | 5 hours ago
withdensemilk
2 | 5 hours ago
H4RD4W4Y | NYK
1 | 5 hours ago
bubbasnub | Magic
4 | 5 hours ago
[deleted]
1 | 5 hours ago
Vi0lentByt3
1 | 5 hours ago
Chubbadog | Pacers
1 | 5 hours ago
running_wired
2 | 4 hours ago
Chubbadog | Pacers
1 | 4 hours ago
fastlikeanascar | Gran Destino
1 | 4 hours ago
bannedbytheshadows
1 | 3 hours ago
rompskee | Cavaliers
1 | an hour ago
XxX_22marc_XxX | Celtics
0 | 5 hours ago
No_Improvement_477 | Bucks
-2 | 5 hours ago
Trimax42 | Germany
8 | 5 hours ago
DjReeseCup | Cavaliers
4 | 5 hours ago
[deleted]
1 | 32 minutes ago
DjReeseCup | Cavaliers
1 | 19 minutes ago
No_Improvement_477 | Bucks
-1 | 5 hours ago
Natural_Builder8305 | Kings
1 | 5 hours ago
No_Improvement_477 | Bucks
1 | 5 hours ago
nugentismycenter | Pistons
1 | 5 hours ago
Natural_Builder8305 | Kings
2 | 4 hours ago
Pickleskennedy1
5 | 5 hours ago
SeismicRipFart | Trail Blazers
10 | 5 hours ago